Универсальные стандарты в сосудистой ультразвуковой визуализации

Проводится совместная работа ведущих компаний про производству ультразвуковых аппаратов и кардиологических центров по выработке универсальных стандартов ультразвуковых диагностических технологий в ангиологии.
Это сотрудничество является одним первым в своем роде и прекрасный пример совместной работы производителей с лечебными учреждениями для создания универсальных клинических стандартов и проверки технологий, что поможет в будущем увеличить безопасность и эффективность диагностических систем.
Компания Hitachi Aloka Medical совместно с Институтом молекулярной и экспериментальной медицины при Кардиффском университете (Великобритания) начали исследования в данной области.
Профессор Фразер, один из участников проекта, говорит: «Ультразвуковые аппараты разных производителей и даже разных моделей от одного производителя, часто дают различные значения при одинаковых измерениях. Создание стандартов и средних значений для каждого производителя значительно поможет врачам»
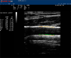
Кардиологи из 13 европейских центров принимают участие в этом проекте. На сегодняшний день проанализированы результаты исследований сонных артерий технологией eTRACKING компании Hitachi Aloka Medical с использованием ультразвукого датчика для сосудистых исследований более чем у 2 000 пациентов.
Подобные ультразвуковые технологии существую у все ведущих производителей ультразвуковых аппаратов, так например в компании Esaote - RFQIMT & RFQAS, GE – измерение комплекса IMT/AS.
Ригидность артерий, близко расположенных к сердцу, таких как аорта, приводит к увеличению нагрузки на сердце. Этот процесс наблюдается из-за уменьшения артериальной пластичность (увеличение ригидности), которая измеряется ультразвуковой технологией по определению времени отражение ультразвуковой волны.
Так сокращение левого желудочка сердца создает волну, которая затем отражается от аорты. У пациентов с повышенной аортальной ригидностью, отражение волны происходит быстрее, волна быстрее достигает аортального клапана, который еще не успел закрыться. Таким образом, повышается центральное систолическое давление и нагрузка на левое сердце. Это приводит к растяжению сердечной мышцы – гипертрофии левого желудочка и потери его функциональности.
Ультразвуковой технологией проводится оценка диаметра и объема аорты, направление и интенсивность волны в артерии. Полученные результаты показываю клиницистам состояние сердца и крупных сосудов.
Использование двух диагностических инструментов - eTRACKING и измерение интенсивность волны (Wave Intensity) является эффективным методом в оценке оценке лечения сердечно-сосудистых заболеваний. Уже сейчас выделяют переферийный и центральный лекарственный эффект, который помогает подобрать правильный препарат для уменьшения риска сердечных заболеваний. Лекарства, которые воздействуют на силу и время распространения волны, могут быть более эффективны в уменьшении нагрузки на сердце.
Профессор Фразер отмечает: «Мы уже успешно протестировали диагностические инструменты Wave Intensity и eTRACKING компании Hitachi Aloka. Полученные данные способствовали развитию нашего представлению о механизмах развития сердечно-сосудистых заболеваний и взаимосвязи желудочков сердца и артерий»
Фото 1; 2 Ультразвуковые технологии компаний Hitachi Aloka Medical и Esaote измерения комплекса интима-медиа и ригидности аорты
Фото 3 Биопсийный набор для ультразвуковых датчиков компании Hitachi Aloka Medical (биопсийный угол, расходные материалы для УЗИ: напрявляющая для иглы, защитное покрытие, гель для УЗИ)
По материалам сайта Medimaging
